Raiz do Dente Exposta: Entenda as Causas, Identifique os Sintomas e Saiba como Tratar!
A raiz do dente exposta é uma condição que pode causar desconforto e preocupação para muitas pessoas.
Neste artigo, exploremos as origens desse problema, os sinais que indicam a exposição da raiz do dente e as opções de tratamento disponíveis para lidar com essa situação.
Se você está lidando com esse problema ou quer aprender mais sobre o assunto, continue lendo para obter informações valiosas.
Origens da Exposição da Raiz do Dente
A exposição da raiz do dente pode ter várias origens, sendo as mais comuns:
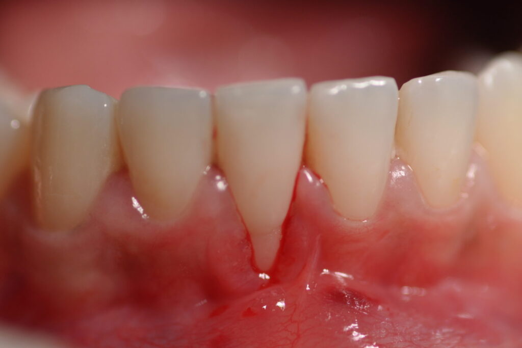
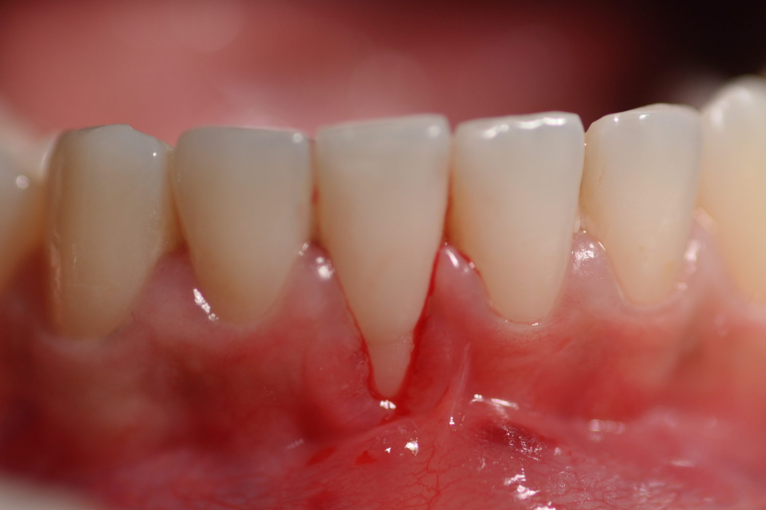
Retração Gengival: A retração gengival ocorre quando a gengiva se retrai e expõe a raiz do dente.
Isso pode ser causado por escovação agressiva, periodontite ou fatores genéticos.
Desgaste do Esmalte: O desgaste do esmalte dentário pode expor a raiz do dente, tornando-a mais sensível e vulnerável a danos.
Doenças Periodontais: Doenças como a gengivite e a periodontite podem causar retração gengival e exposição da raiz do dente.
Bruxismo: O hábito de ranger os dentes pode levar ao desgaste do esmalte e à exposição da raiz do dente.
Sinais de Raiz do Dente Exposta:
Os sinais de raiz do dente exposta podem incluir:

- Sensibilidade ao calor, frio e alimentos doces.
- Dor ao mastigar ou ao tocar na região afetada.
- Gengivas sensíveis ou inflamadas.
- Aparência amarelada ou escurecida da raiz exposta.
- Maior risco de cáries na região exposta.
- Diagnóstico e Avaliação.
Ao notar sinais de exposição da raiz do dente, é importante procurar um dentista para um diagnóstico preciso.
O dentista realizará uma avaliação clínica e poderá solicitar exames como radiografias para avaliar a extensão do problema e determinar o melhor plano de tratamento.
Tratamentos:
Os tratamentos para raiz do dente exposta variam dependendo da causa e da gravidade do problema.
Algumas opções de tratamento incluem:
Aplicação de Flúor: Em casos leves, a aplicação de flúor pode ajudar a fortalecer o esmalte dentário e reduzir a sensibilidade.
Restaurações Dentárias: Restaurações como resinas compostas podem ser utilizadas para cobrir e proteger a raiz exposta, melhorando a estética e reduzindo a sensibilidade.
Enxertos de Tecido: Em casos mais avançados de retração gengival, enxertos de tecido podem ser necessários para cobrir a raiz exposta e restaurar a saúde gengival.
Tratamento Periodontal: Em casos associados a doenças periodontais, um tratamento periodontal adequado pode ser necessário para controlar a progressão da doença e proteger a raiz do dente.
Correção de Hábitos: Corrigir hábitos prejudiciais como escovação agressiva ou bruxismo é fundamental para evitar a exposição da raiz do dente no futuro.
Prevenção:
Para prevenir a exposição da raiz do dente, é importante adotar hábitos saudáveis de higiene bucal, como escovação suave com uma escova de cerdas macias, uso de fio dental regularmente e visitas periódicas ao dentista para avaliação e limpeza profissional.
Além disso, evitar hábitos prejudiciais como o consumo excessivo de alimentos ácidos e o uso de tabaco pode ajudar a proteger a saúde bucal.
Conclusão
A exposição da raiz do dente é uma condição que requer atenção e cuidados adequados para prevenir complicações e manter a saúde bucal.
Ao reconhecer os sinais de raiz do dente exposta e buscar tratamento adequado, é possível melhorar a qualidade de vida e a saúde geral da cavidade bucal.
Não hesite em consultar um dentista se tiver preocupações com a exposição da raiz do dente, pois um diagnóstico precoce e um plano de tratamento adequado podem fazer toda a diferença.

