Principais Doenças na Gengiva: Entenda Tipos, Causas e Tratamento, e Descubra Quais são as Mais Perigosas
A saúde bucal desempenha um papel crucial em nossa vida cotidiana, e as doenças na gengiva são um aspecto significativo dessa equação.
Neste artigo abrangente, vamos explorar as principais doenças gengivais, suas causas e opções de tratamento.
Além disso, investigaremos quais delas apresentam riscos mais sérios à saúde bucal.

A Importância da Saúde Gengival.
Antes de mergulharmos nas doenças específicas, é crucial compreender a importância da saúde gengival.
As gengivas desempenham um papel vital na sustentação dos dentes e na prevenção de problemas bucais.
Manter as gengivas saudáveis não apenas promove um sorriso bonito, mas também contribui para a saúde geral do corpo.
Periodontite: A Inimiga Silenciosa.
A periodontite é uma das doenças gengivais mais comuns e, muitas vezes, silenciosa em seus estágios iniciais.
Neste capítulo, exploraremos as causas da periodontite, os sinais de alerta e os métodos eficazes de tratamento.
Entender como essa condição progride é essencial para prevenir danos irreversíveis à saúde bucal.
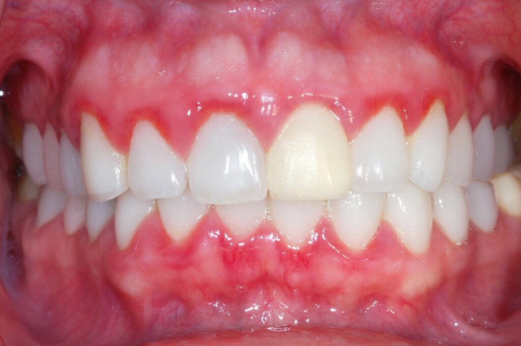
Gengivite — O Primeiro Sinal de Alerta.
A gengivite é o estágio inicial das doenças gengivais e pode ser reversível com ações adequadas.
Vamos analisar os sintomas, as causas e as estratégias de prevenção da gengivite, destacando a importância de cuidados regulares e da higiene bucal para evitar complicações futuras.

Doença Periodontal Avançada. Principais Doenças na Gengiva.
À medida que a periodontite progride, pode levar a condições mais avançadas, como abscessos gengivais e perda óssea.
Este capítulo abordará os estágios avançados da doença periodontal, seus sintomas e as opções de tratamento disponíveis para minimizar os danos.
Gengivoestomatite- Uma Perspectiva Menos Conhecida.
A Gengivoestomatite é uma condição que afeta não apenas as gengivas, mas também a mucosa bucal.
Vamos explorar os sintomas distintos dessa condição, suas causas e as medidas de tratamento que podem aliviar o desconforto associado.
Doenças Sistêmicas Relacionadas às Gengivas /Principais Doenças na Gengiva
Além das consequências locais, certas doenças gengivais estão ligadas a problemas sistêmicos de saúde.
Este capítulo abordará como doenças como diabetes e doenças cardiovasculares podem ter impactos diretos na saúde das gengivas, destacando a importância de cuidados bucais regulares para prevenir complicações mais amplas.
Prevenção e Cuidados Gerais /Principais Doenças na Gengiva
Neste capítulo, discutiremos estratégias eficazes de prevenção, incluindo práticas de higiene bucal, visitas regulares ao dentista e mudanças no estilo de vida que podem beneficiar a saúde das gengivas.
A prevenção é fundamental para evitar o desenvolvimento e a progressão de doenças gengivais.

Identificando as Mais Perigosas.
Para concluir, vamos destacar quais das doenças na gengiva são consideradas mais perigosas em termos de impacto na saúde bucal e geral.
Compreender a gravidade de cada condição é essencial para motivar a busca por cuidados preventivos e tratamentos adequados.
Conclusão:
A saúde das gengivas é um aspecto crucial da saúde bucal geral.
Este artigo buscou fornecer uma compreensão abrangente das principais doenças gengivais, suas causas e opções de tratamento.
Ao entender os perigos associados a essas condições, esperamos incentivar a adoção de práticas saudáveis que promovam gengivas fortes e uma boca saudável.
Lembre-se, a prevenção é a chave para preservar seu sorriso ao longo da vida.

